Com a evolução tecnológica da ressonância magnética (RM), os equipamentos receberam recursos adicionais de hardware e software que possibilitam o desenvolvimento e a introdução de novas técnicas de RM, entre elas a Imagem por Difusão (DWI), que permite obter informações sobre o movimento Browniano de moléculas de água nos tecidos cerebrais e sobre seu comportamento quando expostas a gradientes de um campo magnético.
A imagem de RM por Difusão Isotrópica (DWI)
Prioriza informações sobre o córtex cerebral, apresentando imagens de baixa resolução, devido à rapidez com que são obtidas, para captar o movimento das moléculas de água nos tecidos cerebrais.
Nos casos de imagem por difusão para diagnóstico são sempre acompanhadas de um mapa de Coeficiente de Difusão Aparente (ADC), um cálculo logarítmico, que registra a média da Difusão em 3 direções. Sob a atuação de gradientes, podemos verificar uma restrição à difusão (difusão restrita) ou aceleração da difusão (difusão facilitada) das moléculas de água nos tecidos, obtendo-se informações sobre a viabilidade tecidual.
Para melhor entendimento:
Moléculas de água que sofrem restrição (paradas ou em baixo movimento) “brilham”, ficando hiper intensas em casos de imagem por difusão, que são ponderadas em T2W, ficando escuras em mapas de ADC. Moléculas de água que se movem rapidamente sob ação da força dos gradientes (difusão facilitada), “escurecem” na imagem por difusão e “brilham” ou ficam hiperintensas em mapas de ADC, apesar de algumas exceções por conta de artefatos, que mascaram o sinal de Difusão.
Uma das principais aplicações da Imagem por Difusão é na detecção precoce de infartos isquêmicos agudos ou superagudos, em até menos de 15 minutos, possibilitando não só o diagnóstico, mas também uma abordagem terapêutica precoce.

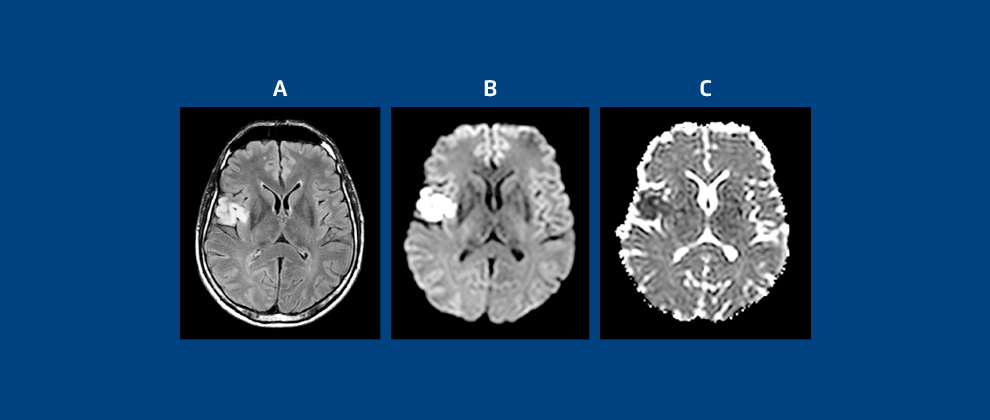
Figura 1: quadros A, B e C representam um infarto isquêmico recente.
O quadro A, em Flair T2W, mostra lesão hiper intensa opercular frontal direita; quadro B, em Imagem por Difusão (DWI), mostra área de difusão restrita, com “brilho” por edema citotóxico; quadro C, em mapa de Coeficiente de Difusão Aparente (ADC) com sinal baixo, é compatível com infarto isquêmico recente.
A partir desta descoberta, verificou-se que várias outras patologias mostravam restrição à difusão, ampliando a utilização do método. De forma geral, as demais patologias que mostram restrição à difusão se baseiam no agrupamento anormal de células, como no caso dos tumores cerebrais, restringindo o movimento das moléculas de água no interstício ou espaço extracelular. No caso de tumores, possibilitam a graduação de malignidade das lesões tumorais.
Tumores densamente celularizados ou com proliferação celular aumentada possuem restrição à difusão, enquanto tumores com densidade celular baixa e amplo interstício tumoral, terão difusão facilitada.

Figura 2: quadros A, B, C e D representam tumor de alto grau do SNC (glioblastoma).
O quadro A, em imagens em T1 com contraste, mostra tumor primário do SNC com realce irregular pelo contraste; quadros B e C, em Imagem por Difusão (DWI) e mapas de ADC, mostram restrição à difusão por alta densidade celular; quadro D, em perfusão cerebral ASL, sem contraste e mapa de CBF, mostra tumor bem vascularizado, com angiogênese tumoral.
Outras patologias que também mostram restrição à difusão são:
Processos inflamatórios em fase aguda, abscessos piogênicos, cistos ou tumores epidermoides, edema citotóxico por infartos isquêmicos agudos definitivos ou transitórios, estresse metabólico/excitocicidade, edema neurotóxico por trauma cerebral agudo e hemorragia cerebral em fase subaguda tardia.
Entre as principais vantagens da Imagem por Difusão está a capacidade de diferenciar edema citotóxico (intracelular) de edema vasogênico (intersticial), auxiliando no diagnóstico diferencial entre tumores e processos inflamatórios em geral.
Imagem de RM por Difusão Anisotrópica ou Difusão Tensorial (DTI)
Baseia-se na aplicação de gradientes de pulso de RF em mais de 6 direções, obtendo informações sobre o movimento das moléculas de água, não somente no córtex cerebral, mas também ao longo dos tratos e fibras de substância branca, gerando mapas de Anisotropia Fracionada (AF) e, através destes mapas, se obtém a reconstrução dos tratos e conexões nervosas do SNC.
Os mapas de Anisotropia Fracionada demonstram detalhes anatômicos sobre a localização e direção de conexões nervosas do SNC, baseada na movimentação das moléculas de água, sempre ao longo e não através das fibras e tratos do SNC e, além disto, dá informações adicionais sobre a microestrutura cerebral e viabilidade das conexões nervosas através da mensuração da difusão em eixos radial e axial.
A mensuração da difusão através dos mapas de Anisotropia Fracionada tem sido utilizada para estudar a viabilidade das conexões nervosas do SNC em diferentes patologias, como sequela de trauma crânio encefálico, doenças degenerativas do SNC, avaliar a integridade e proximidade dos tratos e conexões nervosas em relação a tumores ou processos inflamatórios cerebrais.
Os mapas de Anisotropia Fracionada (AF) são de suma importância para a localização de lesões cerebrais profundas, locais em que não há referências anatômicas claras, como na superfície cerebral.
É uma ferramenta valiosa na diferenciação de tumores primários e metástases do SNC, através do aumento da anisotropia (restrição) no tecido cerebral vizinho, fora das margens do tumor.

Figura 3: quadros A e B representam, respectivamente, Difusão Tensorial (DTI) e Mapas de Anisotropia Fracionada (AF).
O quadro A, em mapa de AF simples em branco e preto, mostra conexões mais importantes da substância branca encefálica; quadro B, em mapa de cores, mostra a direção dos tratos (azul: crânio caudal; vermelho: transversal; verde: anteroposterior.
A Tractografia tem vital importância no mapeamento pré-cirúrgico de fibras e tratos para avaliar a sua proximidade com lesões tumorais ou massas potencialmente cirúrgicas, no sentido de poupar conexões e estruturas nervosas importantes do ponto de vista funcional. A demonstração seletiva dos tratos (Tractografia Seletiva) é importante para compreender sua relação com lesões tumorais ou massas potencialmente cirúrgicas.

Figura 4: quadros A, B, C e D representam imagens de Tractografia Seletiva.
O quadro A, em Tractografia, mostra relação de lesão tumoral com o fascículo longitudinal inferior; quadro B, em reconstrução do trato corticoespinhal deslocado posteriormente por lesão tumoral; quadro C, em radiação frontal do fascículo uncinado deslocada superiormente por efeito de massa de lesão no opérculo fontal; o quadro D, em segmento frontal e parietal do fascículo arqueado deslocado inferiormente por tumor cerebral frontal.
O procedimento de difusão
A Difusão Isotrópica por RM (DWI) faz parte da rotina de investigação das patologias do SNC, é de rápida execução e não exige tempo longo de processamento, portanto está inclusa no protocolo de RM do crânio.
A Difusão Anisotrópica por RM (DTI) exige um pós-processamento trabalhoso e prolongado, para reconstrução de tratos e fibras do SNC (Tractografia) e, por esta razão, terá custo adicional.
DTI e Tractografia devem ser solicitadas em sequela de TCE; alguns casos de doença degenerativa cerebral adquirida e, principalmente, em patologias potencialmente cirúrgicas como tumores, processos inflamatórios, má formação arteriovenosa ou puramente venosa (hemangiomas cavernosos).
Entre em contato com a Ecomax e tire suas dúvidas a respeito da imagem por difusão, esse recurso adicional que agrega um detalhamento precioso ao exame de RM.
Leia também: Ressonância ou tomografia: quando utilizar cada um destes exames?

