Ressonância magnética multiparamétrica da próstata

O estudo multiparamétrico, ou funcional, vem evoluindo para tornar-se o pilar fundamental no manejo e diagnóstico de pacientes com câncer de próstata. A ressonância magnética multiparamétrica é um tipo específico de exame de imagem, com protocolo dirigido para o estudo detalhado da próstata, auxiliando no diagnóstico precoce dos tumores prostáticos.

O exame é realizado em aparelhos de alto campo (1.5 T ou 3.0 T), com bobina de superfície na pelve para maximizar o sinal na região de interesse. O protocolo consiste em imagens para avaliar a anatomia da próstata (T2) e sequências funcionais (difusão e perfusão).

Tais técnicas funcionais associam-se a propriedades biológicas do tumor, de modo que:

– A difusão se relaciona com a celularidade e os escores de Gleason (agressividade do tumor);

– O estudo de perfusão se relaciona com a angiogênese (formação de novos vasos sanguíneos);

O uso destas técnicas em combinação aumenta a confiança diagnóstica e permite uma melhor caracterização do câncer de próstata, direcionando a biópsia para a região afetada, melhorando as taxas de detecção das lesões, ampliando as chances de resultado positivo e, eventualmente, evitando biópsias desnecessárias.

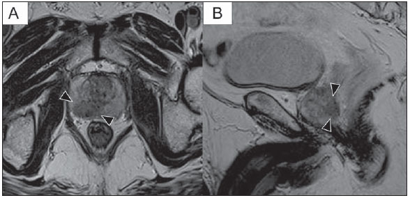
Acima, podemos observar um aspecto típico de tumor na zona periférica, em imagens pesadas em T2, mostrando uma lesão nodular hipointensa no T2 à direita, marcada com cabeças de seta nos planos axial (A) e sagital (B).

Na imagem acima, vemos representada a curva de intensidade de sinal versus tempo, numa lesão tumoral típica. A imagem A representa a fase arterial precoce na avaliação, mostrando uma área focal de realce precoce na zona periférica à direita (marcada pela linha vermelha). Áreas normais também foram demarcadas na zona periférica contralateral (em amarelo) e na glândula interna (em verde). As curvas resultantes, na imagem B, mostram que a lesão suspeita (curva vermelha) é caracterizada por uma subida intensa e íngreme (wash-in), seguida por uma queda significativa (wash-out), com um comportamento significativamente distinto das outras curvas.

ressonância magnética multiparamétrica

Neste exemplo, temos o pós-processamento semiquantitativo do DCE. A imagem A representa o mapa paramétrico gerado, correspondendo à área abaixo da curva durante o primeiro minuto (positive enhancement index – PEI). Observamos que neste mapa a área suspeita está codificada em vermelho (cabeças de seta), se destacando das outras porções do parênquima prostático. Em B é mostrada uma fusão entre o mapa paramétrico.

A Ecomax disponibiliza a ressonância magnética multiparamétrica de próstata exemplificada acima. Contamos com software dedicado, além de equipamentos e equipe médica especializados, assegurando ainda mais segurança e precisão aos resultados dos pacientes.

Hoje, este é o exame com maior potencial de detecção da neoplasia maligna de próstata, combinando imagens anatômicas com técnicas funcionais, trazendo informações cruciais para diagnósticos e auxiliando também na escolha do tratamento ideal.

Garanta excelência nas investigações de tumores prostáticos com a ressonância magnética multiparamétrica da Ecomax! Agende facilmente on-line ou diretamente pelo chat com a Elisa, nossa assistente virtual, disponível no site.

(Fonte para o texto: Ressonância magnética multiparamétrica da próstata: conceitos atuais

Autho(rs): Leonardo Kayat Bittencourt1; Daniel Hausmann2; Natalia Sabaneeff3; Emerson Leandro Gasparetto4; Jelle O. Barentsz5).

Leia também: Ressonância magnética de próstata para detecção do câncer.